Expert Care for Your Smile
With over 8+ years of specialized experience, Dr. Shilpa provides painless and high-quality dental treatments in Tirupati. We combine advanced technology with a gentle, patient-first approach to ensure the best results for your family.
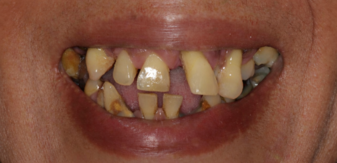
- ✔️ Painless Root Canal
- ✔️ Cosmetic Dental Treatments
- ✔️ Clear Aligners







